ホーム ≫ 最新情報 ≫
最新情報
-
2018年07月03日
知覚過敏
台風7号が 通り過ぎておりますが、みなさま 大丈夫でしたか~ヾ(。>д<)ノ .。:+*❔ 梅...
-
2018年06月29日
親知らず
親知らずとは、20才前後のころ、大人の奥歯の一番後ろに生えてくる永久歯のことで、元々ない人もい...
-
2018年04月06日
桜の時期
こんにちは! もう桜の時期も終わりましたね😢😢 みなさんお花見には行きましたか?? 伊集院の桜...
-
2018年03月03日
3月になりました🌸そふと歯科 伊集院
こんにちは🌞3/3ひな祭りですね🎎 今日はそふと歯科 伊集院の様子をお届けします✨ じゃーん!...
-
2018年02月06日
歯appy Valentine♡
寒さが日増しに厳しくなりますが、みなさま風邪はひいておりませんか( ˘∪˘ )🍀 お口の中をキ...
-
2018年01月30日
歯肉ホワイトニング
今年に入って もう1ヶ月が経つなんて 時が過ぎるのは早いですね~( (;´∀`) なんとか寒波...
-
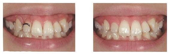
2018年01月17日
銀歯を白くしてみませんか☺
2018年になり、さっそくの寒波がきて とても驚きましたねぇ( ノД`) 最近 暖かい日が続き...
-
2017年10月25日
ホワイトニングキャンペーン
ホワイトニングモニターキャンペーン 今年も残すところわずかになりましたね(*´ω`*) みなさ...
-
2017年10月20日
歯ロウィン
🎃歯ロウィンイベントを開催します🎃 10/30㊊・31㊋に来院してくださった方 全員に キシリ...
-
2017年09月20日
研修会【キレイデス】
先日 金属バネがない・薄くて軽い 新感覚の部分入れ歯の研修会がありました。 部分的に入れ歯を入...

